今天來跟大家分享難搞的皮膚病案例,但因為故事有點長,所以只好先破題,其實真正的主角疾病是要介紹腎上腺亢進症。
一位老馬爾濟斯1.9公斤,15歲的毛孩子因為年老體衰、腿無力前來針灸;另外還發現全身膿皮症、舌頭發紫、 體熱、老年智力退化。
病情分析:
(1)全身膿皮症、耳道感染塞滿不見耳道,可能與免疫力低下、細菌、酵母菌混合感染有關。
(2)舌頭發紫原來是唾液腺囊腫壓迫了氣道導致舌頭偏紫。
(3)體熱與腿無力這可能是身體老化退化的結果呈現,通常與神經退化或骨刺/椎間盤壓迫有關。
(4) 老年認知障礙症候群,屬於漸進性退化性神經疾病,主要是大腦實質退化。
這毛孩子我以前看過門診,算是很凶狠的阿尼奇等級,甚至連飼主都會咬,可是那天卻是非常和善,飼主表示關於皮膚惡化,之前都是一陣一陣, 似乎有一天就突然惡化,已經在多處他院看過門診,但是沒有什麼改善。因為最近腳無力所以前來就診。
關於後腳無力,我給他施針,因為目前毛孩子的反應還算遲鈍,因此給予重子 重仙 環跳 陽陵泉 委中 承山 崑崙這些穴位,慢慢行動有改善,並且給予梔子銀花解毒湯治療唾液腺囊腫壓迫了氣道的問題。當後腳與唾液腺囊腫在幾周後都明顯舒緩,膿皮症與耳道腫脹卻還在努力奮鬥中,由於他的症狀實在太像腎上腺亢進症,所以我們說服飼主進行血液檢查、腹部超音波、與小劑量類固醇抑制試驗Low-Dose Dexamethasone Suppression Test(LDDST)後確認是腎上腺亢進症,在歷經四個月的連續治療後,膿皮症與臭耳朵赫然痊癒,有趣的是原本和善的老馬爾濟斯又變回凶狠咬人的阿尼奇等級馬爾濟斯(暈倒)。
在這裡 橘大夫提醒大家:
家中狗寶貝慢慢有皮膚病難癒、愛喝水、愛吃、大肚子嗎?這不是變胖喔或吃太鹹導致的皮膚病喔,小心!!請勿忽視可能是狗腎上腺亢進症!!
認識狗腎上腺亢進症
常見的品種
常見的品種
(1)所有的品種都可能。
(2)貴賓犬、臘腸犬和約克夏犬。通常偏向腦下垂體源性腎上腺皮質功能亢進症。
(3)腎上腺皮質發生腫瘤化在大型犬比較常見。
症狀
(1)大肚子,看似變胖但其實皮膚卻是薄的。
(2)難以痊癒的皮膚病
(3)可能會有毛囊炎或脫毛或肝膽指異常引起的其他症狀。
診斷過程
(1)症狀吻合。(有愛喝水、大肚子這些症狀)
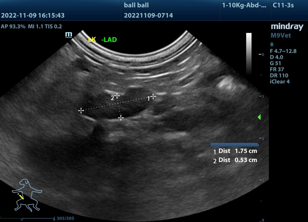
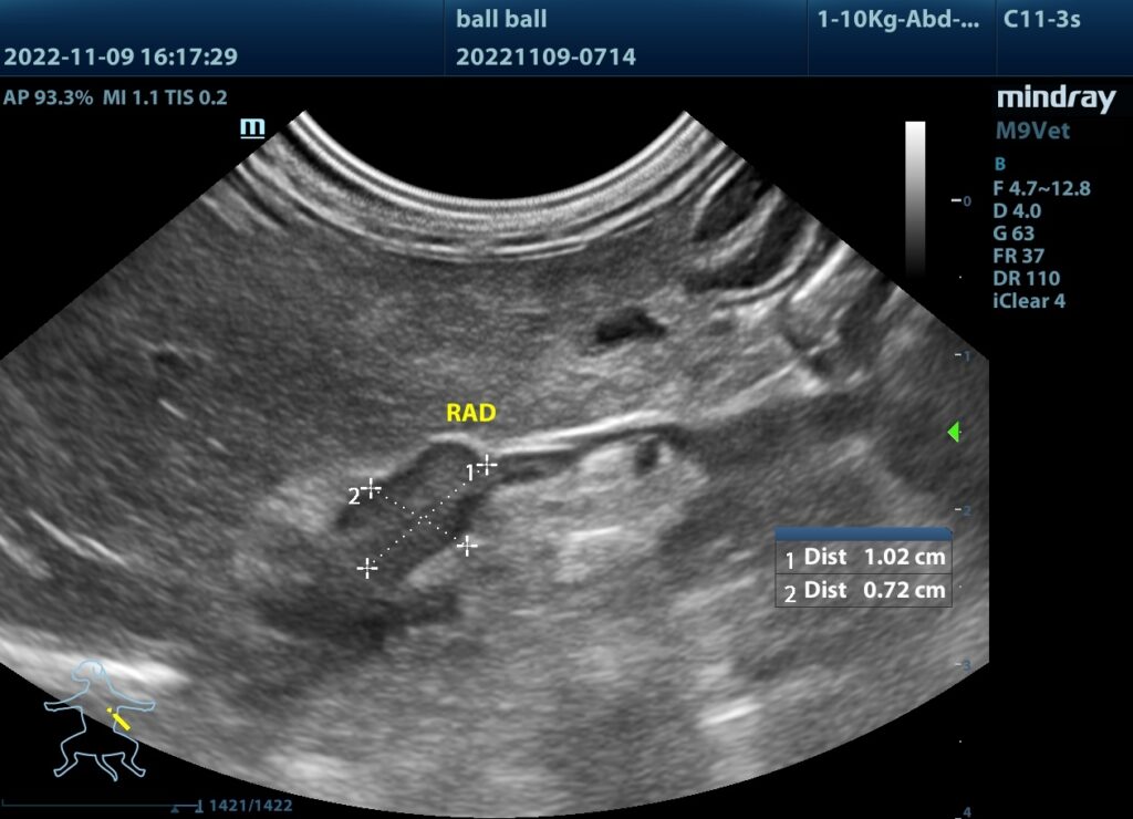
(2)超音波看見腫大的腎上腺。
(3)ACTH刺激試驗、小劑量類固醇抑制試驗。
反覆且難以控制的膿皮症

反覆且難以控制的膿皮症

開始往白泡泡邁進

治療後~請叫我白帥帥~帥哥

我病好~別說我癡呆~我一樣像以前一樣凶狠咬人喔~誰說老年癡呆不會好~

腫大的腎上腺




